水雷射是一種結合水、雷射和空氣技術的先進牙科治療工具,主要是以精細、無創的方式來進行牙齒和牙齦組織的處理。此技術在牙科治療中越來越受歡迎,因為它提供了傳統牙科器械(如鑽頭)無法實現的效果和舒適度。

水雷射技術藉由高頻震盪的水和雷射來切割或清除蛀牙,比傳統鑽頭減少震動和熱量,所以不會有疼痛以及鑽牙的惱人噪音。
許多患者因此不需要局部麻醉,尤其適合對疼痛敏感的患者和兒童。

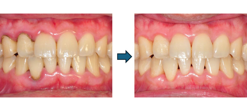
水雷射能夠精確地去除病變組織和菌斑以及牙結石,而不損傷健康組織,且在切割和消融時會封閉血管,有效減少出血。特別適合需要精確處理的牙周袋深層清潔。
治療的傷口癒合時間比傳統的牙周手術要短。雷射的低熱效應不會對組織造成過度損傷,讓患者的術後恢復較快。


水雷射可以去除過多的牙齦組織,暴露更多牙齒表面,從而達到美觀或修復治療的目的。牙冠增長術通常用於修復損壞的牙齒或改善「牙齦笑」(牙齦過度顯露)的情況。過程不疼痛,減少了組織創傷,因此患者的牙齦能更快癒合,縮短恢復期。
